Hallux valgus

Hallux valgus - OA Dr. Thomas Czurda - Orthopäde Wien 1080
1/1
Der Hallux valgus ist die häufigste Zehenfehlstellung – der Vorfuß wird breiter (Spreizfuß), durch das vermehrte Hervorragen des Großzehenballens kommt es zu einem Schuhkonflikt und die Großzehe weicht auffällig in Richtung der 2. Zehe ab. Dadurch verdrängt sie die kleineren Zehen, was zu weiteren Fußdeformitäten (Hammerzehen) führen kann.

Aufgrund der Fehlstellung kommt es zudem zu einer Überlastung des Großzehengrundgelenks und zu einer Sehnenverkürzung, welche wiederum vorzeitigen Gelenkverschleiß begünstigen kann.

Zu Beginn verursacht ein Hallux valgus keine Schmerzen; die Abweichung der Großzehe und verstärkte Ballenbildung am Innenrand des Vorfusses kann jedoch mit schmerzhaften Entzündungen einhergehen. Der hervortretende druck-schmerzhafte Fußballen am Großzehengrundgelenk drückt innen gegen die Schuhe und es kommt zu Schmerzen im Mittelfuß, da die Großzehe nicht mehr voll eingesetzt wird. Schließlich entsteht durch die Fehlstellung eine folgenreiche Knorpelabnutzung des Gelenks, die zu Schmerzen und Bewegungseinschränkungen führen kann.

Konservative Behandlung und Operation
Der Hallux valgus stellt einen wichtigen Behandlungsschwerpunkt im Fusszentrum Wien dar. Mithilfe konservativer Behandlungen wie Physiotherapie, Spiraldynamik, spezieller Fußgymnastik und entsprechenden orthopädischen Hilfsmitteln wird zunächst versucht, Schmerzen und andere Beschwerden zu mildern und die Fehlstellung einzudämmen. Die Beseitigung der Fehlstellung ist mit einer konservativen Behandlung allerdings nicht möglich, sondern nur im Rahmen einer Operation.

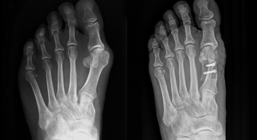
Die Hallux valgus-Operation ist ein sehr individueller Eingriff, für welchen je nach Schweregrad unterschiedlichste Operationsverfahren zur Verfügung stehen, darunter die Chevron-, die Austin- und die Scarf-Osteotomie.

Besonders wichtig für die Operationsplanung ist, dass es sich bei einem Hallux valgus stets um eine Kombination verschiedener Veränderungen im Bereich des Fußes handelt - Hautveränderungen, Schleimbeutelentzündungen, die Verdrängung der benachbarten Kleinzehen, schmerzhafte Überlastungen und andere begleitende Krankheitsprozesse werden bei der Therapieplanung ebenso berücksichtigt wie der Schweregrad der Fehlstellung und andere Faktoren. Im Rahmen der Diagnostik ist es besonders wichtig, die individuelle Situation des Patienten exakt zu erfassen - durch eine genaue Diagnostik und Analyse der Fehlstellung kann die Operation im Vorfeld sehr gut geplant und exakt an die jeweilige individuelle Ausgangssituation angepasst werden.

Im Anschluss an die Operation erfolgt eine Physiotherapie, die sehr wichtig für den Heilungsprozess ist und wesentlich dazu beiträgt, dass binnen weniger Wochen ein normal gesundes Gangbild erreicht werden kann. Dank der engen Zusammenarbeit und dem intensiven Austausch mit spezialisierten Physiotherapeuten im Fusszentrum Wien ist sichergestellt, dass Patienten bis zum Abschluss der Genesung eine umfassende und bedürfnisorientierte Betreuung erfahren.

Über die für Ihre Vorfußdeformität am besten geeignete Operationsmethode, deren richtigen Zeitpunkt und genauen Ablauf sowie das postoperative Rehabilitationsprogramm informiere ich Sie sehr gerne ausführlich in meiner Ordination.

Erweitertes Profil (entgeltlich). Aktualität, Richtigkeit und Vollständigkeit der Daten ohne Gewähr.