Fußchirurgie

Die Fußchirurgie beschäftigt sich in erster Linie mit Vorfußdeformitäten. Dazu zählen u.a. der Hallux valgus, der Hallux rigidus und die Hammer- bzw. Krallenzehe.
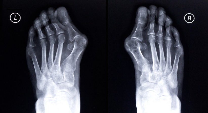
- Hallux valgus
Der Hallux valgus stellt die häufigste Deformität des Vorfußes und der Zehen dar. Von einem Hallux valgus sind in erster Linie Frauen betroffen. Meist führen eine genetische Veranlagung sowie das Tragen von zugespitzten, engen Schuhen zu dieser Fehlstellung im Großzehengrundgelenk.
Einem Hallux valgus geht häufig ein Spreizfuß voraus. Die anfänglichen Beschwerden stellen oftmals ein rein optisches, kosmetisches Problem dar. Schreitet die Fehlstellung jedoch voran, kann es zu starken lokalen Schmerzen kommen. Zudem können Schwielen und Hühneraugen entstehen.
Ein Hallux valgus muss nicht sofort operiert werden. Anfangs können die Beschwerden durch das Tragen eines geeigneten Schuhwerkes, spezielle orthopädische Einlagen, eine gezielte Physiotherapie oder Schienen gelindert werden.
Bei erhöhtem Leidensdruck und deutlicher Fehlstellung ist jedoch die operative Korrektur indiziert. Die Operationsmethode richtet sich dabei nach dem Grad der Fehlstellung.
- Hallux rigidus
Beim Hallux rigidus handelt es sich um eine abnutzungsbedingte Bewegungseinschränkung des Großzehengrundgelenks. Im fortgeschrittenen Stadium kann ein Hallux rigidus sogar zu einer Versteifung des Gelenks führen.
Typische Beschwerden treten vor allem beim Abrollen des Fußes auf. Eine Entzündung der Gelenkkapsel kann zudem zu lokalen Druckschmerzen und einer Schwellung führen.
Ein Hallux rigidus wird in den meisten Fällen durch Verletzungen, falsches Schuhwerk oder bereits bestehende Fußfehlstellungen verursacht. Die Therapie richtet sich nach dem Leidensdruck des Patienten und dem Grad der bestehenden Gelenkabnutzung.
Die Verordnung spezieller, orthopädischer Schuheinlagen sowie gezielte Schmerztherapien und physikalische Maßnahmen stellen die konservative Therapie dieses Beschwerdebildes dar. Operativ stehen gelenkerhaltende und nicht gelenkerhaltende Methoden zur Wahl.
- Hammer- und Krallenzehe
Hammer- und Krallenzehen zählen zu den häufigsten Zehenfehlstellungen. Während es sich bei einer Hammerzehe um eine Beugefehlstellung im Zehenendgelenk handelt, sind Krallenzehen durch eine krankhafte Überstreckung im Grundgelenk und eine vermehrte Beugestellung im Zehenmittel- und –endgelenk charakterisiert.
Typische Symptome sind lokale Rötungen, schmerzhafte Druckstellen sowie Schwielenbildungen und Hühneraugen. Wenn die Zehenfehlstellung noch passiv ausgeglichen werden kann, sprich mit der Hand geradezubiegen ist, bieten sich konservative Behandlungen an. Bei erfolgloser konservativer Therapie wird eine Operation empfohlen.
- Metatarsalgie
Diverse Fußfehlstellungen, falsches Schuhwerk, ein fortgeschrittenes Alter sowie bereits erfolgte Operationen an der Großzehe können zu belastungsabhängigen Schmerzen im Bereich des Vorfußes führen. Charakteristisch für sogenannte Metatarsalgien sind Schwielenbildungen auf Höhe des Fußballens. Eine konservative Behandlung erfolgt in der Regel mit einer speziellen Einlagenversorgung und einem entsprechenden, passenden Schuhwerk. Oftmals genügen diese Maßnahmen, um die Beschwerden nachhaltig zu verbessern. Bei einer ausgeprägten Metatarsalgie kann jedoch auch eine Operation notwendig sein.
- Morton Neurom
Bei einem Morton Neurom handelt es sich um eine schmerzhafte Erkrankung des peripheren Nervensystems des Fußes. Ein Morton Neurom tritt in den meisten Fällen zwischen dem dritten und vierten Zeh in Form von plötzlich auftretenden, stechenden und brennenden Fußschmerzen auf.
Verursacht wird ein Morton Neurom durch eine Einengung der sogenannten Interdigitalnerven, die sich im Bereich der Köpfchen der Mittelfußknochen befinden. Es entwickelt sich eine knotenartige Verdickung an der betroffenen Stelle.
Zu Beginn der Behandlung können gezielte Infiltrationen und spezielle Einlageversorgungen als konservative, therapeutische Maßnahme helfen. In vielen Fällen ist jedoch die chirurgische Entfernung des Morton Neuroms die Therapie der Wahl.
- Digitus quintus varus
Beim sogenannten Schneiderballen weicht die fünfte Zehe zur vierten hin deutlich ab und ist entweder unter oder über dieser eingeklemmt. Die Deformität tritt häufig zusammen mit anderen Fußveränderungen (u.a. Spreizfuß, Hallux valgus) auf.
Die Behandlung eines Digitus quintus varus erfolgt in erster Linie konservativ. In ausgeprägten Fällen kann auch eine chirurgische Korrektur erfolgen, wobei hier zwischen reinen Weichteileingriffen und knöchernen Korrekturen unterschieden wird.