Minimal-invasive Fußchirurgie / Hallux valgus

Minimal-invasive Fußchirurgie / Hallux valgus - Dr. Hermann Leidolf - Unfallchirurg Wien 1010
1/4
Minimal-invasive Fußchirurgie / Hallux valgus - Dr. Hermann Leidolf - Unfallchirurg Wien 1010
2/4
Minimal-invasive Fußchirurgie / Hallux valgus - Dr. Hermann Leidolf - Unfallchirurg Wien 1010
3/4
Minimal-invasive Fußchirurgie / Hallux valgus - Dr. Hermann Leidolf - Unfallchirurg Wien 1010
4/4
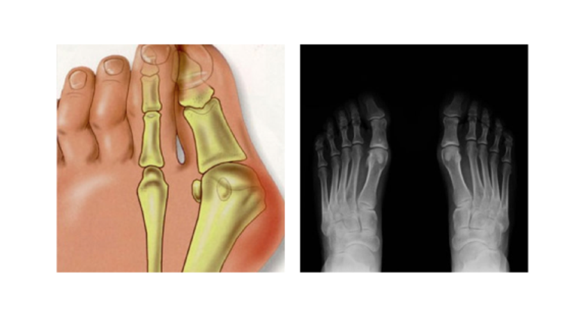
Hallux valgus

ist eine der häufigsten Fehlbildungen der Zehen. Er entsteht meistens durch das dauerhafte Tragen zu enger oder unbequemer Schuhe. Deshalb leiden Frauen auch deutlich öfter unter einem Hallux valgus als Männer. Die Entstehung eines Ballenzehs, wie die Fehlstellung der Großzehe auch genannt wird, kann aber auch durch ein schwaches Bindegewebe, häufiges Stehen oder Rheuma begünstigt werden. Beim Hallux valgus verschiebt sich der Mittelfußknochen nach außen, wo er einen Ballen ausbildet, der bei manchen Patienten gerötet und geschwollen sein kann. Der große Zeh knickt nach innen zu den mittleren Zehen ab. Bei Berührung haben Patienten Schmerzen in der Großzehe, die auch bis in die kleinen Zehen ausstrahlen können.

Mithilfe von konservativen Therapien lassen sich die Schmerzen verringern und das Fortschreiten des Hallux valgus aufhalten. Rückgängig machen kann man die Fehlstellung aber nur durch eine Operation. Ich habe mich auf die minimal-invasive Fußchirurgie ohne Metallimplantate spezialisiert. Bei einer minimal-invasiven Operation wird der Ballen mit speziellen Operationsinstrumenten über drei winzige Einschnitte beseitigt. Muskeln und anderes Gewebe werden bei dieser Methode geschont, was zu einer schnelleren Rehabilitation nach dem Eingriff führt. Viele Chirurgen verwenden für die Fixierung der Knochen Metallschrauben oder –stifte. Diese verursachen oft Probleme beim Patienten und müssen in den meisten Fällen nach der Heilungsphase bei einer Folgeoperation wieder entfernt werden. Aus diesem Grund verwende ich bioresorbierbare Schrauben, die aus gepresstem Zucker hergestellt werden. Einerseits sind diese Implantate leichter verträglich und fördern damit die Heilung. Andererseits lösen sie sich nach zwölf bis achtzehn Monaten auf und ersparen den Patienten dadurch eine Folgeoperation.

Ich setze die minimal-invasive Operation mit bioresorbierbaren Implantaten nicht nur für die Behandlung des Hallux valgus ein. Auch andere Fehlstellungen lassen sich auf diese schonende Weise operieren, wie zum Beispiel:

  • Krallenzehen oder Hammerzehen (eine Fehlstellung der zweiten bis fünften Zehen)
  • „Schneiderballen“ der Kleinzehe
  • Fersensporn oder Haglund Exostosen
  • Hallux rigidus (Schmerzen und Versteifung der Großzehe)
  • Metatarsalgie (chronische Mittelfußschmerzen)

Gerne gebe ich Ihnen weitere Informationen zu den Besonderheiten der minimal-invasiven Fußchirurgie ohne Metallimplantate bei einem persönlichen Gespräch in meiner Ordination.

Erweitertes Profil (entgeltlich). Aktualität, Richtigkeit und Vollständigkeit der Daten ohne Gewähr.