loading
Mundhygiene (Professionelle Zahnreinigung und Vorsorgekonzept)
Die professionelle Mundhygiene ( Prophylaxe ) dient der gründlichen Reinigung Ihrer Zähne und der Vorbeugung von Karies und Zahnfleischerkrankungen. Dabei werden Beläge und Verfärbungen schonend entfernt – auch mit moderner Pulverstrahler-Technologie für eine besonders sanfte und effektive Reinigung...
loading
Implantologie
Implantologie auf höchstem Niveau: In unserer Ordination arbeiten wir mit modernem 3D-Röntgen und 3D-Scanner für eine präzise Planung. Die Implantation erfolgt schablonengeführt ( Navigationsschiene ) und damit minimalinvasiv , schonend und mit sehr geringen postoperativen Beschwerden. Die gesamte B...
loading
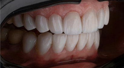
All-on-4 / All-on-6 Versorgung
All-on-4 / All-on-6 Implantate & Prothetik: Diese Behandlung bietet eine festsitzende Versorgung für Patienten mit zahnlosen Kiefern und ermöglicht fixe Zähne, die dauerhaft im Mund verbleiben. In unserer Ordination erfolgt die gesamte Therapie aus einer Hand – von der digitalen Planung mittels...
loading
Prothetik / Zahnersatz
Prothetik (Zahnersatz): In unserer Ordination bieten wir hochwertigen Zahnersatz auf natürlichen Zähnen und Implantaten an – von Kronen und Brücken bis hin zu Teil- und Totalprothesen . Die gesamte Planung erfolgt digital mittels 3D-Intraoralscanner. Die Fertigung wird direkt in der Ordination durch...
loading
Zahnerhaltung
Unser oberstes Ziel ist es, Ihre natürlichen Zähne so lange wie möglich zu erhalten. Daher setzen wir konsequent auf minimalinvasive und substanzschonende Behandlungen. Ob Füllungen, Wurzelbehandlungen oder weitere konservierende Maßnahmen – wir versuchen zunächst immer, den eigenen Zahn zu retten ,...
loading
Kinderzahnheilkunde
In unserer Ordination bieten wir eine einfühlsame und kindgerechte Zahnbehandlung für unsere kleinen Patientinnen und Patienten an. Im Mittelpunkt stehen Prävention, frühzeitige Kontrolle und eine sanfte, angstfreie Betreuung. Durch spielerischen Umgang und behutsame Behandlung schaffen wir eine ver...
loading
Ästhetische Zahnheilkunde (Veneers, Inlays, Onlay, Overlays, Zahnkronen und Brücken)
Ästhetische Zahnmedizin umfasst moderne Behandlungsmethoden, die Funktion und ein natürlich schönes Erscheinungsbild der Zähne miteinander verbinden. In unserer Ordination bieten wir ein breites Spektrum an ästhetischen Versorgungen an – darunter Veneers, Kronen, Brücken sowie Inlays, Onlays und Ove...
loading
Bleaching
Bleaching ist eine schonende Methode zur Aufhellung der Zähne und sorgt für ein strahlend weißes, gepflegtes Lächeln. Verfärbungen durch Kaffee, Tee, Nikotin oder andere Einflüsse können gezielt reduziert werden. In unserer Ordination bieten wir neben dem klassischen Bleaching auch ein modernes Expr...
loading
Aligner-Therapie (unsichtbare Zahnkorrektur-Schienen)
Die Aligner-Therapie ist eine moderne, nahezu unsichtbare Methode zur Korrektur von Zahnfehlstellungen . Mithilfe individuell angefertigter, transparenter Schienen werden die Zähne Schritt für Schritt in die gewünschte Position bewegt. Die Behandlung ist besonders komfortabel, da die Aligner herausn...
loading
Orale Chirurgie
Im Bereich der oralen Chirurgie werden präzise und schonende Eingriffe im Mundraum durchgeführt. Dazu zählen unter anderem Zahnentfernungen, chirurgische Vorbereitungen für Implantate sowie weitere notwendige operative Maßnahmen. Durch moderne Techniken und eine sorgfältige Planung wird der Eingriff...
loading
Full-Mouth-Rehabilitation (Ganzheitliche Zahnsanierung)
Die Full-Mouth-Rehabilitation stellt ein umfassendes, individuell abgestimmtes Behandlungskonzept dar, bei dem das gesamte Gebiss funktionell und ästhetisch neu aufgebaut wird. Zu Beginn erfolgt eine detaillierte Analyse von Zahnstellung, Bisslage, Kiefergelenk, Kaumuskulatur sowie der ästhetischen...
loading
Digitaler 3D-Oralscanner (Abdruckfreie Behandlung)
In unserer Praxis werden herkömmliche Abdruckmethoden weitgehend durch moderne digitale Verfahren ersetzt. Mithilfe eines hochpräzisen 3D Oralscanners wird die Zahnsituation schnell, kontaktarm und detailgenau erfasst. Diese Methode ist deutlich angenehmer, insbesondere für Personen mit Würgereiz od...
Erweitertes Profil (entgeltlich). Aktualität, Richtigkeit und Vollständigkeit der Daten ohne Gewähr.