Beinachsenkorrektur bei X- und O-Bein Fehlstellungen

Die Ursachen für eine Beinachsfehlstellung können vielfältig sein. Neben angeborenen Fehlstellungen unterscheidet man auch im Laufe der Lebensjahre erworbene Verformungen des Ober- oder Unterschenkelknochens.
Verheilt beispielsweise der Bruch am Ober- oder Unterschenkelknochen nach einem Unfall nicht genau in der ursprünglichen Stellung, führt die neu entstandene Biegung im Knochen zur Fehlstellung der gesamten Beinachse und damit zu einem einseitigen X- oder O-Bein.
Beinachsenabweichungen bedingen häufig eine verfrühte Abnutzung eines Kniegelenkanteils, bei O-Beinen (Genu varum) der Gelenkinnenseite und bei X-Beinen (Genu valgum) der Gelenkaußenseite. Außerdem können hohe Achsabweichungen auch zu Instabilitäten im Kniegelenk führen.
Wenn also Beschwerden auftreten und gleichzeitig eine Beinachsenfehlstellung des Kniegelenks vorliegt, sollte über eine Beinachsenkorrektur nachgedacht werden.
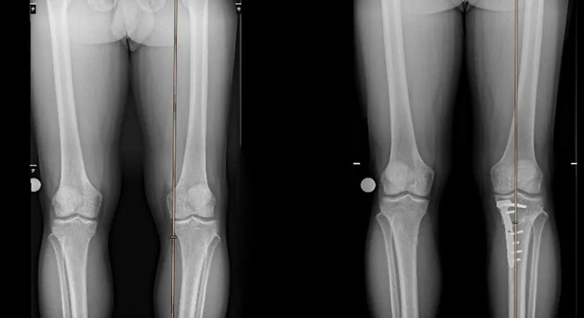
Häufig können die Beinachsenkorrekturen mit Knorpel oder Meniskustherapien kombiniert werden, was auch sinnvoll ist. Wichtig ist, dass die knöcherne Korrektur dort durchgeführt wird, wo auch der Fehler im Knochen ist. Das bedeutet, dass manchmal auch zwei Knochenosteotomien zur Korrektur einer Achsfehlstellung notwendig sind, da sowohl im Oberschenkel als auch im Unterschenkel ein relevanter Knochenfehler besteht. Voraussetzung zum Erkennen dieser knöchernen Fehlstellungen ist deshalb eine sehr genaue und sorgfältige präoperative digitale Planung am Röntgenbild. Daraus errechnet sich auch die während der Operation durchzuführende Korrektur. Ohne eine derartige Planung wird jede Art von Umstellungs-Osteotomie scheitern.
Ich habe mehrere hundert unterschiedliche, teilweise sehr komplexe Umstellungsosteotomien, häufig in Kombination mit Knorpeltherapien, durchgeführt und bin bei Fragen gerne für Sie da!