Ich biete Ihnen als Wahlarzt eine umfangreiche orthopädische und sportmedizinische Betreuung auf hohem wissenschaftlichem...
Dr. med. Wolfgang Zinser, Prim. a. D.
Willkommen in der Ordination für Gelenkerhalt von Dr. Wolfgang Zinser!
Willkommen in der Ordination für Gelenkerhalt von Dr. Wolfgang Zinser!
Ich biete Ihnen als Wahlarzt eine umfangreiche orthopädische und sportmedizinische Betreuung auf hohem wissenschaftlichem Niveau und nach aktuellen Standards. Meine Erfahrung, die ich über die Jahre als Primar und Ärztlicher Direktor einer großen deutschen Klinik und in zahlreichen Komitees von Fachgesellschaften sammeln konnte, kommt mir dabei zugute. Da viele überregionale und auch ausländische Patienten meine Hilfe suchen, biete ich ergänzend auch Online-Sprechstunden an.
Ich sehe es als meine Aufgabe und Mission, Gelenke zu erhalten, wo immer es irgendwie möglich ist und bin zu diesem Thema auch seit zwei Jahrzehnten als aktiver Ausbildner, Referent und Ratgeber für Patienten und Kollegen tätig. Ich bin stolz darauf, dafür mehrfach als international anerkannter zertifizierter Experte für Hüft-, Knie- und Sprunggelenkserkrankungen sowohl von Magazin Focus, als auch von der größten europäischen Fachgesellschaft (AGA) ausgezeichnet worden zu sein. Durch die guten Patientenbewertungen wurde mir 2025 von der Tageszeitung "Kurier" das Gütesiegel "Beliebteste Ärzte Österreichs" verliehen.
In meiner Praxis nehme ich mir für jedes individuelle orthopädische Anliegen ausreichend Zeit. Mein vorrangiges Ziel ist es, dass Sie sich bei mir sicher und in den besten kompetenten Händen fühlen.
Nachdem eine genaue Diagnose gestellt und sämtliche notwendige Untersuchungen durchgeführt wurden, erarbeite ich mit Ihnen gemeinsam einen maßgeschneiderten Therapieplan. Dieser kann, je nach Befund, sowohl konservative als auch operative Methoden beinhalten.
Als ehemaliges Mitglied der Leichtathletiknationalmannschaft betreue und berate ich als Sportmediziner zahlreiche Sportler u.a. den ÖSV Nachwuchskader.
Wenn für den Krankheitsverlauf keine Nachteile entstehen, versuche ich in Absprache mit meinen Patienten immer zunächst eine konservative Behandlung. Erst wenn die Maßnahmen scheitern oder nicht den gewünschten Erfolg bringen, steht die Operation als weitere Option. Dabei kommen bevorzugt arthroskopische oder minimalinvasive Techniken zur Anwendung, um die Belastung für den Patienten so gering wie möglich zu halten. Die Privatklinik EMCO (2025 Auszeichnung Beste Privatklinik Österreichs!) in Hallein/Bad Dürrnberg (https://www.emco-klinik.at/) als auch die Privatklinik Graz Ragnitz (https://www.privatklinik-graz-ragnitz.at/de/) bieten für meine Operationen sowohl die optimale technische Ausstattung, als auch die fürsorgliche Patientenbetreuung nach der OP. Durch die Nähe zum Salzburger (Hallein) und Grazer Flughafen (15min Taxi) und die Hilfestellungen der Fluggesellschaften ist die An- und Abreise der ausländischen Patienten, die häufig meine spezialisierte operative Expertise benötigen, sehr komfortabel und sicher geregelt. Kostenübernahmen für in- und ausländische Patienten mit Zusatzversicherung, für eine evtl. notwendige Operation, sind meist problemlos möglich.
Da die EMCO Privatklinik seit Jahren eine Sondervereinbarung mit der BVAEB-Versicherung innehat, haben BVAEB-versicherte Patienten auch ohne Sonderklasseversicherung sehr geringe Operationskosten bei vollem üblichen Service durch das Krankenhaus und mich!
Ich bin mit meiner Erst-Ordination Orthoexpert im physikalischen Ambulatorium Knittelfeld (Metagil) eingemietet, und bin auch offizieller Ärztlicher Leiter des physikalischen Ambulatoriums, wodurch ich die komplette hauseigene Infrastruktur und interdiszipiliäre Zusammenarbeit mit den Therapeuten nutzen kann. Die Praxis ist hell und modern gestaltet sowie technisch auf dem neuesten Stand (Ultraschall, Zentrifuge für PRP, Infiltration etc.). Meine Zweit-Ordination befindet sich in Salzburg/Bad Dürrnberg in der Privatklinik EMCO (https://www.emco-klinik.at/), wo ich auch meine Operationen durchführe neben der Privatklinik Graz Ragnitz als zweiten OP-Standort.
Ihre Termine können gerne per Telefon oder Email vereinbart werden.
Ich würde mich freuen, Sie persönlich begrüßen zu dürfen!
Ihr
Dr. Wolfgang Zinser
Willkommen in der Ordination für Gelenkerhalt von Dr. Wolfgang Zinser!
Ich biete Ihnen als Wahlarzt eine umfangreiche orthopädische und sportmedizinische Betreuung auf hohem wissenschaftlichem Niveau und nach aktuellen Standards. Meine Erfahrung, die ich über die Jahre als Primar und Ärztlicher Direktor einer großen deutschen Klinik und in zahlreichen Komitees von Fachgesellschaften sammeln konnte, kommt mir dabei zugute. Da viele überregionale und auch ausländische Patienten meine Hilfe suchen, biete ich ergänzend auch Online-Sprechstunden an.
Ich sehe es als meine Aufgabe und Mission, Gelenke zu erhalten, wo immer es irgendwie möglich ist und bin zu diesem Thema auch seit zwei Jahrzehnten als aktiver Ausbildner, Referent und Ratgeber für Patienten und Kollegen tätig. Ich bin stolz darauf, dafür mehrfach als international anerkannter zertifizierter Experte für Hüft-, Knie- und Sprunggelenkserkrankungen sowohl von Magazin Focus, als auch von der größten europäischen Fachgesellschaft (AGA) ausgezeichnet worden zu sein. Durch die guten Patientenbewertungen wurde mir 2025 von der Tageszeitung "Kurier" das Gütesiegel "Beliebteste Ärzte Österreichs" verliehen.
In meiner Praxis nehme ich mir für jedes individuelle orthopädische Anliegen ausreichend Zeit. Mein vorrangiges Ziel ist es, dass Sie sich bei mir sicher und in den besten kompetenten Händen fühlen.
Nachdem eine genaue Diagnose gestellt und sämtliche notwendige Untersuchungen durchgeführt wurden, erarbeite ich mit Ihnen gemeinsam einen maßgeschneiderten Therapieplan. Dieser kann, je nach Befund, sowohl konservative als auch operative Methoden beinhalten.
Als ehemaliges Mitglied der Leichtathletiknationalmannschaft betreue und berate ich als Sportmediziner zahlreiche Sportler u.a. den ÖSV Nachwuchskader.
Wenn für den Krankheitsverlauf keine Nachteile entstehen, versuche ich in Absprache mit meinen Patienten immer zunächst eine konservative Behandlung. Erst wenn die Maßnahmen scheitern oder nicht den gewünschten Erfolg bringen, steht die Operation als weitere Option. Dabei kommen bevorzugt arthroskopische oder minimalinvasive Techniken zur Anwendung, um die Belastung für den Patienten so gering wie möglich zu halten. Die Privatklinik EMCO (2025 Auszeichnung Beste Privatklinik Österreichs!) in Hallein/Bad Dürrnberg (https://www.emco-klinik.at/) als auch die Privatklinik Graz Ragnitz (https://www.privatklinik-graz-ragnitz.at/de/) bieten für meine Operationen sowohl die optimale technische Ausstattung, als auch die fürsorgliche Patientenbetreuung nach der OP. Durch die Nähe zum Salzburger (Hallein) und Grazer Flughafen (15min Taxi) und die Hilfestellungen der Fluggesellschaften ist die An- und Abreise der ausländischen Patienten, die häufig meine spezialisierte operative Expertise benötigen, sehr komfortabel und sicher geregelt. Kostenübernahmen für in- und ausländische Patienten mit Zusatzversicherung, für eine evtl. notwendige Operation, sind meist problemlos möglich.
Da die EMCO Privatklinik seit Jahren eine Sondervereinbarung mit der BVAEB-Versicherung innehat, haben BVAEB-versicherte Patienten auch ohne Sonderklasseversicherung sehr geringe Operationskosten bei vollem üblichen Service durch das Krankenhaus und mich!
Ich bin mit meiner Erst-Ordination Orthoexpert im physikalischen Ambulatorium Knittelfeld (Metagil) eingemietet, und bin auch offizieller Ärztlicher Leiter des physikalischen Ambulatoriums, wodurch ich die komplette hauseigene Infrastruktur und interdiszipiliäre Zusammenarbeit mit den Therapeuten nutzen kann. Die Praxis ist hell und modern gestaltet sowie technisch auf dem neuesten Stand (Ultraschall, Zentrifuge für PRP, Infiltration etc.). Meine Zweit-Ordination befindet sich in Salzburg/Bad Dürrnberg in der Privatklinik EMCO (https://www.emco-klinik.at/), wo ich auch meine Operationen durchführe neben der Privatklinik Graz Ragnitz als zweiten OP-Standort.
Ihre Termine können gerne per Telefon oder Email vereinbart werden.
Ich würde mich freuen, Sie persönlich begrüßen zu dürfen!
Ihr
Dr. Wolfgang Zinser
Beliebte Leistungen

Sportmedizinische Beratung

Konservative Arthrosetherapie

Hüftarthroskopie (Gelenkspiegelung)

Gelenkerhaltende Hüftchirurgie

Beckenosteotomie bei Hüftdysplasie (Stellungskorrektur der Hüftpfanne), PAO (periazetabuläre Osteotomie)

Hüftgelenkersatz (Hüft-TEP)

Chirurgische Knorpeltherapie / Knorpelzelltransplantation

Beinachsenkorrektur bei X- und O-Bein Fehlstellungen

Kniearthroskopie

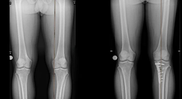
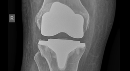
Knieprothese (Kniegelenkersatz)

Korrektur von Fuß- und Zehenfehlstellungen

Wechseloperationen bei gelockertem Gelenkersatz

Arthroskopie des Sprunggelenks

Infiltrationstherapie

Orthesen- und Einlagenversorgung
Erreichbarkeit
Der Zugang erfolgt stufenlos oder mit einer Rampe
Beliebte Leistungen

Sportmedizinische Beratung
In der sportmedizinischen Beratung geht es vor allem um Ratschläge und Tipps hinsichtlich Trainingsabläufe und Therapiemöglichkeiten nach z.B. Verletzungen,...

Konservative Arthrosetherapie
Arthrose ist eine weitverbreitete Gelenkerkrankung bei Erwachsenen. Sie führt durch den schwindenden Gelenkknorpel zu Schmerzen und Bewegungseinschränkungen,...

Hüftarthroskopie (Gelenkspiegelung)
Die Hüftarthroskopie hat sich in den letzten Jahren enorm weiterentwickelt. Therapieverfahren, die früher lediglich mit großen Schnitten und damit verbundenen...

Gelenkerhaltende Hüftchirurgie
Zur gelenkserhaltenden Hüftchirurgie zählen sicherlich die Hüftarthroskopie und die PAO, die an anderer Stelle beschrieben sind. Diese stellen die häufigsten und...

Beckenosteotomie bei Hüftdysplasie (Stellungskorrektur der Hüftpfanne), PAO (periazetabuläre Osteotomie)
Die Hüftdysplasie des Jugendlichen und Erwachsenen ist durch die in Österreich durch Prof. Reinhard Graf entwickelte Säuglingssonografie glücklicherweise...

Hüftgelenkersatz (Hüft-TEP)
Wenn Sie unter Hüftgelenkarthrose leiden und der Verlust des Gelenkknorpels fortgeschritten ist, kann die Implantation einer Hüfttotalendoprothese (Hüft-TEP)...

Chirurgische Knorpeltherapie / Knorpelzelltransplantation
Zur Knorpeltherapie am Knie stehen eine Vielzahl von wissenschaftlich erprobten Behandlungsoptionen bereit. Je nach Art der Knorpelschädigung, deren Ursache...

Beinachsenkorrektur bei X- und O-Bein Fehlstellungen
Die Ursachen für eine Beinachsfehlstellung können vielfältig sein. Neben angeborenen Fehlstellungen unterscheidet man auch im Laufe der Lebensjahre erworbene...

Kniearthroskopie
Die Kniearthroskopie ermöglicht eine detaillierte Untersuchung des Inneren des Kniegelenks. Sie wird häufig zur Diagnose und Behandlung von Knieerkrankungen...

Knieprothese (Kniegelenkersatz)
Ein schmerzendes Knie kann auf eine Kniegelenkarthrose hinweisen. Dabei handelt es sich um eine verschleißbedingte Erkrankung des Kniegelenks, bei der der...

Korrektur von Fuß- und Zehenfehlstellungen
Der Fuß mit seiner Vielzahl an Knochen und seiner fein strukturierten Anatomie, ist ein erstaunlich komplexes Gebilde. Doch ein falscher Tritt, eine kleine...

Wechseloperationen bei gelockertem Gelenkersatz
Eine Wechseloperation kann notwendig sein, wenn das künstliche Gelenk gelockert ist oder eine Infektion im Bereich der Prothese auftritt.
Die Entscheidung für...

Arthroskopie des Sprunggelenks
Sprunggelenkarthroskopie: zur Knorpel-Knochenregeneration bei Osteochondrosis Dissecans und osteochondralen Defekten des Sprungbeins (Talus) mit matrixgestützter...

Infiltrationstherapie
Injektionen und Infiltrationen führe ich als konservative Therapie und auch Postoperativ zur Unterstützung einer Knorpelregeneration häufig durch. Streng sterile...

Orthesen- und Einlagenversorgung
Orthesen dienen nicht nur der Prävention und Therapie von Verletzungen und Erkrankungen des Bewegungsapparats. Wir nutzen sie auch zur Entlastung bei bestimmten...
Krankenkassen
- BVAEB
- Wahlarzt
Ordinationszeiten nach Vereinbarung
Terminvereinbarung erforderlich
Terminvereinbarung auf unserer Webseite www.orthoexpert.at, telefonisch unter 0664/5343076 oder per Mail an info@orthoexpert.atGesprochene Sprachen
Gesprochene Sprachen
- Englisch
- Deutsch
Ausbildung: Fachberechtigung & Zusatzgebiete
Ausbildung: Fachberechtigung & Zusatzgebiete
- Orthopädie u. Traumatologie
- Sportorthopädie
- Kniechirurgie
- Hüftchirurgie
- Endoprothetik
- Orthopädie u. Orthopädische Chirurgie
Diplome & Zertifikate
Diplome & Zertifikate
- Sportmedizin
Fotos & Videos
Krankenkassen
- BVAEB
- Wahlarzt
Ordinationszeiten nach Vereinbarung
Terminvereinbarung erforderlich
Terminvereinbarung auf unserer Webseite www.orthoexpert.at, telefonisch unter 0664/5343076 oder per Mail an info@orthoexpert.atGesprochene Sprachen
Gesprochene Sprachen
- Englisch
- Deutsch
Ausbildung: Fachberechtigung & Zusatzgebiete
Ausbildung: Fachberechtigung & Zusatzgebiete
- Orthopädie u. Traumatologie
- Sportorthopädie
- Kniechirurgie
- Hüftchirurgie
- Endoprothetik
- Orthopädie u. Orthopädische Chirurgie
Diplome & Zertifikate
Diplome & Zertifikate
- Sportmedizin
Fotos & Videos
Weitere Ärzte im Umkreis
Dr. Wilfried Saria
Orthopäde, Unfallchirurg (in [[ calculateDistanceTo([14.827153,47.214635]) ]] km)Dr. Wilhelm Leinich
Orthopäde (in [[ calculateDistanceTo([14.82705,47.21458]) ]] km)Beiträge aus dem Fachbereich

Hüftschmerzen

Bakerzyste - Ursache, Symptome und Behandlung

Meniskusriss

Hüftschmerzen

Bakerzyste - Ursache, Symptome und Behandlung

Meniskusriss
Gesamtbewertung
Weitere Bewertungen5 Punkte |
|
100% |
4 Punkte |
|
0% |
3 Punkte |
|
0% |
2 Punkte |
|
0% |
1 Punkt |
|
0% |
Detailbewertungen anzeigen
Detailbewertungen
Erklärung zum BewertungssystemEinfühlungsvermögen des Arztes |
5,0
|
(28) |
Serviceangebot |
5,0
|
(29) |
Betreuung durch Arzthelfer |
5,0
|
(28) |
Praxisaustattung / Räumlichkeiten |
5,0
|
(28) |
Zufriedenheit mit der Behandlung |
5,0
|
(29) |
Vertrauen zum Arzt |
5,0
|
(29) |
Wartezeit im Warteraum |
5,0
|
(28) |
Wartezeit auf Termin |
5,0
|
(28) |
Erfahrungsberichte
Schlittenprothese nach Sturz
Vorsorgespräch - OP - Nachsorge super
Ein Arzt zum weiterempfehlen!
Einfühlungsvermögen des Arztes |
|
Vertrauen zum Arzt |
|
Zufriedenheit mit der Behandlung |
|
Serviceangebot |
|
Praxisaustattung / Räumlichkeiten |
|
Betreuung durch Arzthelfer |
|
Wartezeit im Warteraum |
|
Wartezeit auf Termin |
|
Kreuzband OP nach Motorradunfall
Sehr empfehlenswert.
Einfühlungsvermögen des Arztes |
|
Vertrauen zum Arzt |
|
Zufriedenheit mit der Behandlung |
|
Serviceangebot |
|
Praxisaustattung / Räumlichkeiten |
|
Betreuung durch Arzthelfer |
|
Wartezeit im Warteraum |
|
Wartezeit auf Termin |
|
Ein Arzt aus Berufung
Einfühlungsvermögen des Arztes |
|
Vertrauen zum Arzt |
|
Zufriedenheit mit der Behandlung |
|
Serviceangebot |
|
Praxisaustattung / Räumlichkeiten |
|
Betreuung durch Arzthelfer |
|
Wartezeit im Warteraum |
|
Wartezeit auf Termin |
|
PAO - Operation und Nachbehandlung
Einfühlungsvermögen des Arztes |
|
Vertrauen zum Arzt |
|
Zufriedenheit mit der Behandlung |
|
Serviceangebot |
|
Praxisaustattung / Räumlichkeiten |
|
Betreuung durch Arzthelfer |
|
Wartezeit im Warteraum |
|
Wartezeit auf Termin |
|
Kompetent und empfehlenswert
Detailbewertungen anzeigen
Detailbewertungen
Erklärung zum BewertungssystemEinfühlungsvermögen des Arztes |
5,0
|
(28) |
Serviceangebot |
5,0
|
(29) |
Betreuung durch Arzthelfer |
5,0
|
(28) |
Praxisaustattung / Räumlichkeiten |
5,0
|
(28) |
Zufriedenheit mit der Behandlung |
5,0
|
(29) |
Vertrauen zum Arzt |
5,0
|
(29) |
Wartezeit im Warteraum |
5,0
|
(28) |
Wartezeit auf Termin |
5,0
|
(28) |