Knieprothese (Kniegelenkersatz)




Ein schmerzendes Knie kann auf eine Kniegelenkarthrose hinweisen. Dabei handelt es sich um eine verschleißbedingte Erkrankung des Kniegelenks, bei der der Gelenkknorpel beschädigt wird.
In den frühen Stadien der Kniearthrose kann der Krankheitsverlauf durch gezielte Therapien und eine Anpassung des Lebensstils verlangsamt werden. Reichen nicht-chirurgische Behandlungen nicht mehr aus, könnte eine Knieprothese die richtige Lösung sein.
Nach einer sorgfältigen Diagnose werden wir gemeinsam einen individuellen Therapieplan für Sie erstellen.
Teilersatz des Kniegelenks (Halbschlitten und Ersatz des Kniescheiben-/Gleitlagergelenks)
Eine Halbschlittenprothese ist eine Form der Kniegelenkprothese. Im Gegensatz zur Vollprothese, bei der das gesamte Kniegelenk ersetzt wird, ersetzt die Halbschlittenprothese nur einen Teil des Gelenks, genauer gesagt entweder den inneren (mediale) oder äußeren (lateralen) Teil.
Die Entscheidung für eine Halbschlittenprothese hängt von der individuellen Situation des Patienten und dem Ausmaß der Kniearthrose bzw. der Kniebeschwerden ab. Eine gründliche Untersuchung und Beratung sind entscheidend, um die am besten geeignete Behandlungsoption zu wählen.
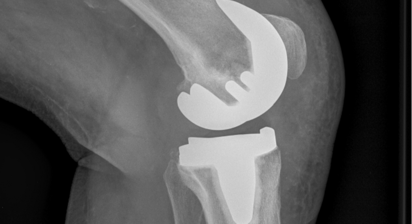
Totalendoprothese (Knie-TEP)
Eine Totalendoprothese des Knies, auch als Knie-TEP abgekürzt, ist ein chirurgischer Eingriff, bei dem das gesamte Kniegelenk durch eine künstliche Prothese ersetzt wird. Die Prothese besteht aus Metall und Kunststoff und ahmt die natürliche Struktur und Funktion des Kniegelenks nach.
Wir haben ein spezielles Prärehabilitationsprogramm dafür entwickelt, das auf Schulungen, Bestimmten Physiotherapeutischen Maßßnahmen, Edukation und Hilfsmitteln besteht. Außerdem sollten vor der Operation spezielle Waschungen des Operationsgebietes und die Anwendung einer Nasensalbe erfolgen, um die Gefahr einer Infektion bei der Operation weiter zu vermindern. Spezielle Nahrungsergänzungen können die Erhohlung nach der Operation und die Wundheilung deutlich beschleunigen. Wir beraten Sie gerne dazu und verordnen auf Wunsch gerne die Prärehabilitation. Wichtig ist, dass Sie bereits vor Ihrer Operation, Physiotherapietermine ab einer Woche nach Operation vereinbaren, damit eine optimale postoperative Therapie mit rascher Erholung und guter Gelenkfunktion gewährleistet wird.
Durch Teilnahme an dem anonymisierten deutschsprachigen Register im DART werden alle Behandlungsergebnisse überprüft und ständig Informationen zur weiteren Optimierung gesammelt
Eine Knie-TEP wird in der Regel in folgenden Fällen eingesetzt:
Fortgeschrittene Kniearthrose: Wenn die Kniearthrose so weit fortgeschritten ist, dass sie zu erheblichen Schmerzen, einer eingeschränkten Beweglichkeit und einer verminderten Lebensqualität führt, kann eine Knie-TEP erforderlich sein.
Knieverletzungen: Schwere Knieverletzungen wie z.B. schwere Frakturen oder Bandverletzungen, können die Notwendigkeit einer Knie-TEP auslösen.
Rheumatoide Arthritis: Bei Patienten mit rheumatoider Arthritis, einer entzündlichen Gelenkerkrankung, kann die Zerstörung des Kniegelenks eine Knie-TEP erfordern.
Tumorerkrankungen: In einigen Fällen, in denen Tumore das Kniegelenk betreffen, kann eine Knie-TEP notwendig sein.
Die Entscheidung für eine Totalendoprothese des Knies hängt von der individuellen Krankengeschichte, den Beschwerden und dem Grad der Zerstörung des Kniegelenks ab. Sie wird in der Regel erst in Erwägung gezogen, wenn konservative Behandlungsmethoden wie Medikamente, Physiotherapie und Injektionen keine ausreichende Linderung bieten.